Доктор Нонна в России
Корзина
Товаров: 0 на сумму: 0 руб..

Авторизация

Используйте свой логин и пароль для входа
Ваш логин: *
Ваш пароль: *
Забыли пароль?
Доктор Нона (Dr.Nona)
Share
вернуться назад

Перечень заболеваний

Холецистит

Версия для печати

Холецистит (от греч. χολή — жёлчь и κύστις — пузырь) — воспаление желчного пузыря.

Классификация

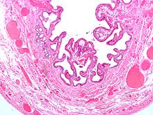
Микроснимок жёлчного пузыря при холецистите.

Болезни желчного пузыря, билиарного тракта и панкреас в соответствии с МКБ-10 входят в рубрики К80 — К87, к желчнокаменной болезни относится рубрика К 80.

  • К 80 ХОЛЕЛИТИАЗ
  • К 80.0 Калькулез желчного пузыря с острым холециститом.
  • К 80.1 Калькулез желчного пузыря с другим холециститом.
  • К 80.2 Калькулез желчного пузыря без холецистита:

    — холецистолитиаз,
    — возвратная желчно-пузырная колика,
    — желчные камни:
    — желчно пузырного протока,
    — желчного пузыря
  • К 80.3 Калькулез желчного протока с холангитом
  • К 80.4 Калькулез желчного протока с холециститом
  • К 80.5 Калькулез желчного протока без холангита и холецистита:
— холедохолитиаз
— желчные камни:
— в протоках без дальнейшего уточнения
— холедоха
— печеночного протока
печеночная форма:
— холелитиаз
— возвратная колика
  • К 80.6 Другие формы холелитиаза

Причины холецистита

Часто развивается при желчекаменной болезни (т. н. каменный или калькулезный холецистит, до 80-90 % общего количества заболеваний), после вирусного гепатита и других инфекционных заболеваний, при наличии хронической очаговой инфекции (например, тонзиллита) или паразитарных заболеваний (например, описторхоза или амёбиаза). Развитию холецистита способствуют застой и изменение состава жёлчи, что может быть связано с особенностями питания. Нередко холецистит сочетается с холангитом.

Острый и хронический холецистит

По течению холецистит может быть острым и хроническим.

Острый холецистит

Основные признаки острого холецистита: приступообразные боли в правой половине живота, отдающие в правое плечо, лопатку; тошнота и рвота; озноб и повышение температуры тела; возможны желтуха и зуд кожных покровов. Опасное осложнение острого холецистита — перитонит. Показана холецистостомия (греч. chole желчь + kystis пузырь + stoma отверстие, проход) — наружное дренирование желчного пузыря при невозможности других вмешательств.

Хронический холецистит

Хронический холецистит может быть бескаменным и калькулезным, от латинского слова «calculus», что значит «камень». Калькулёзный холецистит является одним из результатов желчно-каменной болезни. Хронический холецистит проявляется тошнотой, тупой болью в правом подреберье и др. неприятными ощущениями, возникающими после еды. В распознавании холецистита важную роль играют данные лабораторных исследований и холецистохолангиография.

Наиболее грозным осложнением калькулезного холецистита является печеночная колика. Если в желчевыводящих путях не проходит некрупный (менее 1 см) камень, затыкая ток желчи, то в кровь поступают желчные пигменты и развивается подпеченочная желтуха.

Симптомы колики очень похожи на начало острого холецистита. Тем не менее колика болит намного сильнее и начинается, как правило, ночью или рано утром.

Спустя некоторое время проявляется симптоматика желтухи: происходит пожелтение склер и кожи — появляется своеобразный лимонно-желтый цвет, моча темнеет и становится похожа на пиво, а кал заметно светлеет, вплоть до белизны.

Больные в таком состоянии подлежат экстренной госпитализации.

Хронический холецистит может быть следствием острого, но может возникнуть и самостоятельно. В русской медицинской литературе принято выделять типичный и атипичный вид симптомов заболеваний желчного пузыря (холелитиаз-К 80.2 и хронический холецистит).

Наличие камней в желчном пузыре значительно усложняет задачу лечения и ухудшает прогноз заболеваний.

Рекомендуемые препараты фирмы «Dr. Nona»:

• «Гонсин» (по 1 стакану в день натощак).
• «Равсин» (по 2 капсулы 2 раза в день за 5 минут до еды в течение 45 дней).
• «Грязевая маска» (2 раза в неделю на 2 часа на область печени).
• «Гало-гель» (смыть «Грязевую маску»).
• «Динамический крем» (2 раза в день наносить на область печени).

Холецистит калькулёзный

• «Лосьон для рта» (по 1 колпачку натощак).
• «Квартет солей» (соль пить по 1/4 чайной ложки натощак; 2 раза в неделю принимать солевые ванны по 15-20 минут при t воды 37-39° С с добавлением по 1/2 столовой л. соли из 4-х больших, баночек).
• «Гонсин» (по 1 стакану 2 раза в день до еды).
• «Равсин» (по 2 капсулы 2 раза в день за 5 минут до еды).
• «Ревмосин» (по 1 капсуле 2 раза в день через 20 минут после еды - принимать в течение 6-8 месяцев).
• «Ньюсин» (по 2 капсулы на ночь).
• «Грязевая маска» (на область печени 2 раза в неделю).
• «Динамический крем» (по утрам наносить на места пульсации и область печени).
Лосьон «Солярис» (наносить на область печени на ночь).
 
вернуться назад
Зарегистрируйтесь и сразу получите
свою персональную скидку
Только зарегистрировавшись у Нас - Вы получаете официальную регистрацию в компании Dr.Nona
Правила регистрации в компании Dr. Nona
Узнать подробнее
Подать заявку на
официальную регистрацию в компании "Dr.Nona"
Фамилия, Имя:*
Дата рождения:*
Ваш действующий e-mail:*
Контактный телефон:*
Страна, город, район, улица:*
Защитный код: *
Проверь свою скидку
в компании "Dr.Nona"
ID дистрибьютора:
Пароль:
Если вы забыли свой пароль или у вас его нет,
напишите, пожалуйста, письмо системному администратору
Shopsupport@drnona.net.

Все о докторе Нонне

Новости

01 Февраля, 2026
Промоушен с 1-20 февраля 2026 года.
C 1 по 20 февраля 2026 года компания объявляет следующие акции

Подписаться на рассылку

Видеоматериалы

Видео с Доктором Нонной
Реклама Динамического крема

Отзывы о проведенных мероприятиях

Статьи

Гало Гонсин Limited Edition
Этот Гонсин обладает всеми свойствами обычного Гонсина и...
Фаза-9 Dr.Nona
Фаза9 и ИММУНИТЕТ!
Яндекс.Метрика