Доктор Нонна в России
Корзина
Товаров: 0 на сумму: 0 руб..

Авторизация

Используйте свой логин и пароль для входа
Ваш логин: *
Ваш пароль: *
Забыли пароль?
Доктор Нона (Dr.Nona)
Share
вернуться назад

Перечень заболеваний

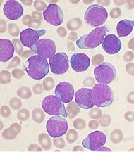
Лейкоз

Версия для печати

Лейкоз — клональное злокачественное (неопластическое) заболевание кроветворной системы. К лейкозам относится обширная группа таких заболеваний, различных по своей этиологии. При лейкозах злокачественный клон происходит из незрелых гемопоэтических клеток костного мозга.

В быту распространено неправильное название «рак крови».

Течение

При лейкозе опухолевая ткань первоначально разрастается в месте локализации костного мозга и постепенно замещает нормальные ростки кроветворения. В результате этого процесса у больных лейкозом закономерно развиваются различные варианты цитопений — анемия, тромбоцитопения, лимфоцитопения, гранулоцитопения, что приводит к повышенной кровоточивости, кровоизлияниям, подавлению иммунитета с присоединением инфекционных осложнений.

Метастазирование при лейкозе сопровождается появлением лейкозных инфильтратов в различных органах — печени, селезенке, лимфатических узлах и др. В органах могут развиваться изменения, обусловленные обтурацией сосудов опухолевыми клетками — инфаркты, язвенно-некротические осложнения.

Диагностика

В диагностике лейкозов большое значение имеет морфологическое исследование. Основными методами прижизненной морфологической диагностики являются исследования мазков периферической крови и биоптатов костного мозга, которые получают при трепанации гребешка подвздошной кости или пункции грудины, а также других органов.


Лечение проводится в гематологических отделениях. На фоне ос­новного лечения рекомендуются:

• «Гонсин» (по 1 пакетику на 0,8 литра воды, принимать по 1 стака­ну 2 раза в день).
• «Оксин» (по 1-2 капсулы 2 раза в день до еды в течение 1 месяца).
• «Равсин» (после курса «Оксина» по 2 капсулы 2 раза в день в те­чение 45 дней). «Оксин» с «Равсином» чередовать 2-3 раза.
• «Даксин» (по 1/2 пластинки в день).
• «Супсин» (по 1столовой л. в день в течение 2-3 месяцев).
Лосьон «Солярис» (на рубцовые изменения кожи и область по­вреждённых лимфоузлов).

вернуться назад
Зарегистрируйтесь и сразу получите
свою персональную скидку
Только зарегистрировавшись у Нас - Вы получаете официальную регистрацию в компании Dr.Nona
Правила регистрации в компании Dr. Nona
Узнать подробнее
Подать заявку на
официальную регистрацию в компании "Dr.Nona"
Фамилия, Имя:*
Дата рождения:*
Ваш действующий e-mail:*
Контактный телефон:*
Страна, город, район, улица:*
Защитный код: *
Проверь свою скидку
в компании "Dr.Nona"
ID дистрибьютора:
Пароль:
Если вы забыли свой пароль или у вас его нет,
напишите, пожалуйста, письмо системному администратору
Shopsupport@drnona.net.

Все о докторе Нонне

Новости

01 Февраля, 2026
Промоушен с 1-20 февраля 2026 года.
C 1 по 20 февраля 2026 года компания объявляет следующие акции

Подписаться на рассылку

Видеоматериалы

Видео с Доктором Нонной
Реклама Динамического крема

Отзывы о проведенных мероприятиях

Статьи

Гало Гонсин Limited Edition
Этот Гонсин обладает всеми свойствами обычного Гонсина и...
Фаза-9 Dr.Nona
Фаза9 и ИММУНИТЕТ!
Яндекс.Метрика